Las matemáticas, la histopatología y la genómica convergen para confirmar que los carcinomas renales de células claras más agresivos muestran niveles bajos de heterogeneidad intratumoral, es decir, contienen menos tipos de células distintas. El estudio, realizado por la profesora Ikerbasque de la UPV/EHU Annick Laruelle, respalda la hipótesis de que sería aconsejable aplicar estrategias terapéuticas para mantener niveles altos de heterogeneidad celular dentro del tumor para ralentizar la evolución del cáncer y mejorar la supervivencia.
-
Una investigación de la EHU reescribe la historia de Rioja Alavesa
-
Mujeres y ciencia: cuatro generaciones de investigadoras frente a los retos del siglo XXI
-
Seguridad, miedo y ciudadanía: el joven magrebí como chivo expiatorio
-
Abortos financiados con dinero público, pero realizados en clínicas privadas
-
Oles, oles lurra esna zaitez!
Las matemáticas respaldan un nuevo enfoque teórico en oncología
Un estudio de la UPV/EHU corrobora mediante la teoría de juegos que los tumores con una menor heterogeneidad celular resultan más agresivos
- Investigación
Fecha de primera publicación: 26/12/2023
Los planteamientos matemáticos están cobrando impulso en la oncología moderna, ya que aportan nuevos conocimientos sobre la evolución del cáncer y nuevas oportunidades de mejora terapéutica. Así, los datos obtenidos a partir de análisis matemáticos avalan muchos de los hallazgos histológicos y los resultados genómicos. La teoría de juegos, por ejemplo, ayuda a comprender las interacciones “sociales” que se producen entre las células cancerosas. Esta novedosa perspectiva permite a la comunidad científica y clínica comprender los acontecimientos ocultos que rigen la enfermedad. En realidad, considerar un tumor como una colectividad de individuos regidos por reglas previamente definidas en ecología abre nuevas posibilidades terapéuticas para los pacientes.
En el marco de la teoría de juegos, el juego halcón-paloma (hawk-dove game) es una herramienta matemática desarrollada para analizar la cooperación y la competición en biología. Cuando se aplica a colectividades de células cancerosas explica los posibles comportamientos de las células tumorales cuando compiten por un recurso externo. “Se trata de una teoría de decisión donde el resultado no depende solamente de la decisión de uno mismo, sino también de la decisión de los otros actores —explica la profesora Ikerbasque Annick Laruelle, experta en teoría de juegos del Departamento de Análisis Económico de la Universidad del País Vasco—. En el juego, las células pueden actuar de forma agresiva, como un halcón, o pasiva, como una paloma, para adquirir un recurso”.
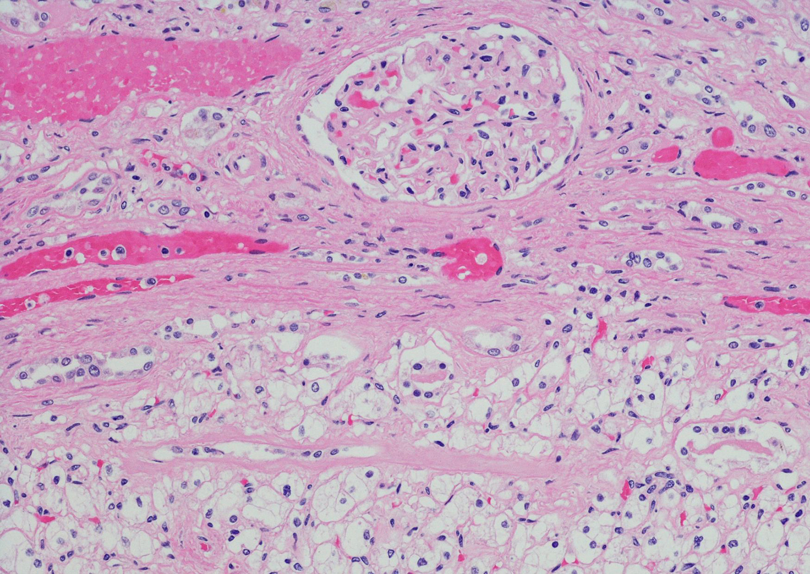
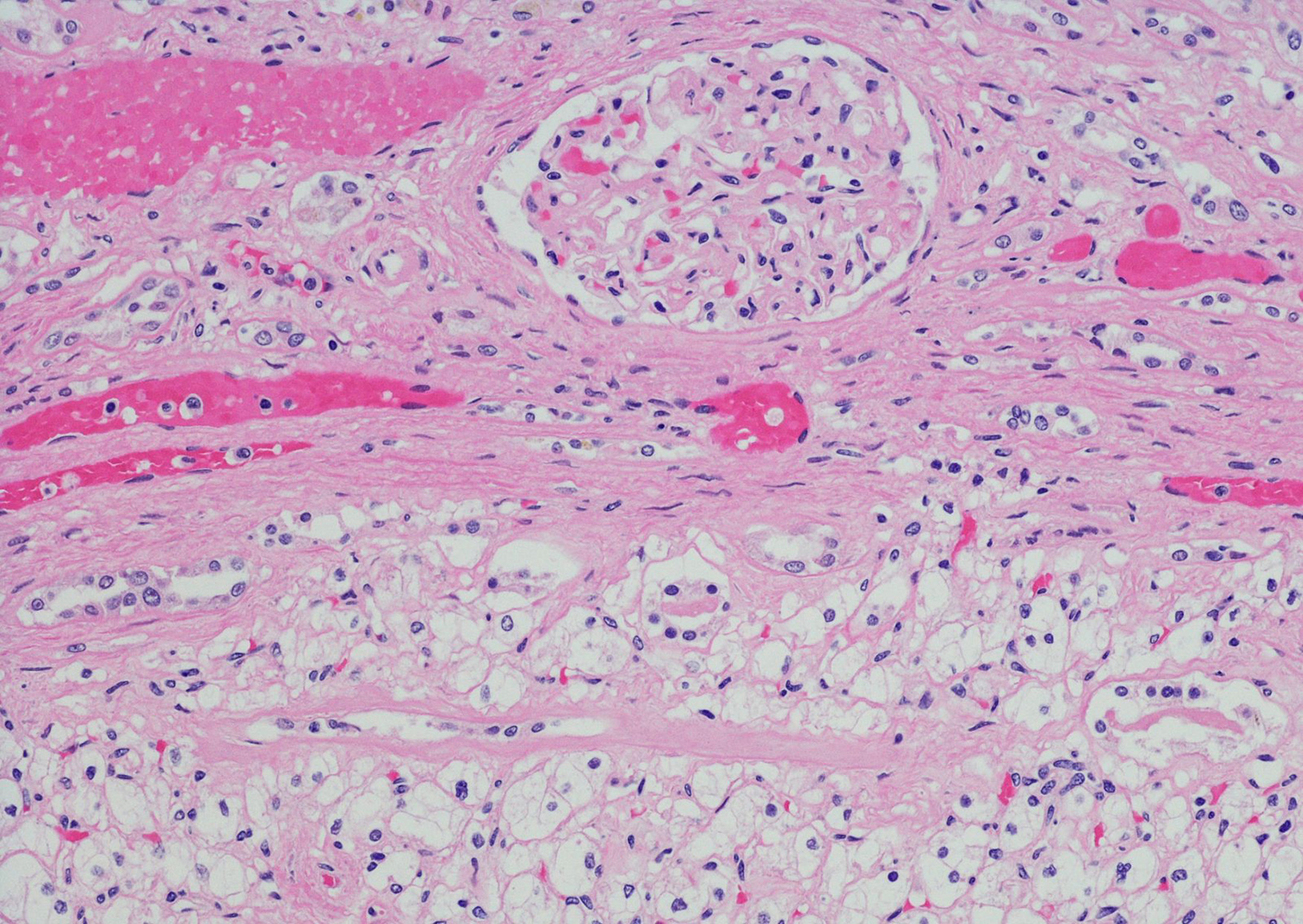
La profesora ha utilizado este juego para analizar las interacciones celulares bilaterales en el carcinoma renal de células claras, altamente agresivo, en dos escenarios diferentes: uno de heterogeneidad tumoral baja, cuando sólo dos tipos de células tumorales compiten por un recurso; y otro de heterogeneidad tumoral alta, cuando dicha competición se produce entre tres tipos de células tumorales. El carcinoma renal de células claras recibe ese nombre debido a que las células del tumor se ven claras, como burbujas, en el microscopio. Para el estudio han tomado este tipo de carcinoma como caso representativo, por tratarse de un paradigma ampliamente estudiado de la heterogeneidad intratumoral (que hace referencia a la coexistencia en un mismo tumor de diferentes subpoblaciones de células).
Nuevo enfoque teórico para nuevas estrategias terapéuticas
Laruelle ha mostrado, así, cómo algunos fundamentos de la heterogeneidad intratumoral, corroborados desde el punto de vista de la histopatología y la genómica, se apoyan en las matemáticas utilizando el juego halcón-paloma. La investigadora Ikerbasque ha publicado en la revista Trends in Cancer el trabajo realizado en colaboración con investigadores e investigadoras de Biocruces, del Hospital San Giovanni Bosco de Turín (Italia) y de la Pontificia Universidade Catolica do Rio de Janeiro.
El grupo de investigadoras e investigadores considera que “esta convergencia de hallazgos obtenidos desde disciplinas muy diferentes refuerza el papel clave de la investigación traslacional en la medicina moderna y confiere a la heterogeneidad intratumoral una posición central en el enfoque de nuevas estrategias terapéuticas” y conjeturan que “la heterogeneidad intratumoral se comporta siguiendo vías similares en muchos otros tumores”.
La cuestión puede tener importantes consecuencias prácticas en el tratamiento clínico de los tumores malignos. La llegada constante de nuevas moléculas enriquece las oportunidades de tratamiento del cáncer en la era de la oncología de precisión. Sin embargo, los investigadores afirman que “una cosa es descubrir una nueva molécula y otra encontrar la mejor estrategia para utilizarla. Hasta ahora el enfoque propuesto se basa en la administración al paciente de la dosis máxima tolerable. Sin embargo, esta estrategia obliga a las células tumorales a desarrollar resistencias lo antes posible, transformando así el tumor original en una neoplasia de baja heterogeneidad intratumoral compuesta únicamente por células resistentes”. Por lo tanto, una terapia dirigida específicamente a preservar la heterogeneidad intratumoral alta puede tener sentido según este enfoque teórico, ya que puede ralentizar el crecimiento del cáncer y obtener así supervivencias más prolongadas. Esta perspectiva está ganando interés actualmente en oncología.
Información complementaria
La profesora Ikerbasque Annick Laruelle, experta en teoría de juegos y teoría de la elección social del Departamento de Fundamentos del Análisis Económico de la Facultad de Economía y Empresa de la UPV/EHU, imparte clases en el Doctorado en Economía: Instrumentos del Análisis Económico.
Referencia bibliográfica
Claudia Manini, Annick Laruelle, André Rocha, José I. López
Convergent insights into intratumor heterogeneity
Trends in Cancer
