The prestigious journal Hepatology Communications reports on the discovery by the Cancer and Translational Medicine research group of the University of the Basque Country (EHU). Tests on mice revealed that hepatic stellate cells, which in themselves help to cure various hepatic diseases, are activated in response to a tumour and help it to develop; furthermore, metastasis virtually disappears when these cells, which are activated and reproduce in the presence of a tumour, are eliminated.
Removing a cancer-activated cell type has been shown to virtually eliminate liver metastasis
EHU researcher Aitor Benedicto reveals that hepatic stellate cells drive the development of metastasis, although paradoxically they protect the liver
- Research
First publication date: 27/05/2025
Hepatic stellate cells (HSCs) are activated to heal the liver when it has a lesion (such as fibrosis or fatty liver); their function is to protect the liver by producing an extracellular matrix comprising collagen, among other things, and creating a scar in the damaged liver. But the EHU’s Cancer and Translational Medicine research group found that these stellate liver cells help the metastatic tumour develop.
As Aitor Benedicto, a researcher working in the field of tumour microenvironment at the EHU, explained, “when metastatic cells reach the liver, the stellate cells are activated and proliferate; besides secreting collagen, they contribute to the formation of new blood vessels and, as a result of various factors that hamper the body’s defences, contribute to the development of tumour cells”.
In their work, published by the prestigious journal Hepatology Communications, the EHU researchers observed for the first time that when the cancer-activated stellate cells were removed from the liver, “the metastasis” of the mice “virtually disappeared; this was due, in particular, to: the reduction in the accumulation of collagen, the fact that we also blocked the formation of blood vessels, the enhanced immune response of the liver and the fact that the tumour can be combatted. We eliminated the support that the metastatic tumour had”, explained Aitor Benedicto.
The EHU researchers showed that stellate liver cells are essential in the emergence and development of liver metastasis, and so, “we have opened new doors for the development of new therapies targeting the tumour microenvironment for the treatment of liver metastasis”.
Metastasis of various origins
As the researcher, a member of the Cancer and Translational Medicine group, explained the liver metastasis may result from several primary cancers: “Colon cancer, pancreatic cancer, breast cancer, and melanoma, for example, can cause liver metastasis. And we want to see whether the effect found with stellate cells is in response to the liver itself or whether it is caused by the primary cancer. The study was conducted with liver metastasis caused by colon cancer and melanoma, and now we are investigating pancreatic cancer,” said Benedicto. Studies to date have shown that “the response of the liver or the stellate cells is the same even though the primary cancer is different,” he added.
“We already know that these cells have the ability to promote the development of metastasis. “Now,” said the EHU researcher, “we have to draw a comparison between how the liver behaves when stellate cells are present and what happens when we remove them. And in this comparison we will see which proteins are expressed when metastasis develops, both in stellate cells and in other surrounding cells. That will allow us to find out about the changes in proteins that occur when the tumour activates the stellate cells, in order to find some targets for treatment”.
An increase in colon cancer has currently been observed, even in young people; 70% of patients with colon cancer will develop liver metastases in their lifetime, which is usually the main cause of death in these patients. Benedicto is very hopeful: “We've got some nice results. Although there is still a long way to go, the results achieved are hugely significant. We are closer to a cure than ever.” In addition, “stellate cells are linked to certain liver diseases, and many people are investigating how to deactivate them. We have the main suspect and we are working on it,” he concluded.
Additional information
The starting point for this research emerged during a stay by Aitor Benedicto at the Icahn School of Medicine at Mount Sinai.
Aitor Benedicto-Garcia is an assistant lecturer in the EHU’s department of Cell Biology and Histology and lectures on the degree course in Pharmacy and on the Master's in Biomedical Research.
Bibliographic reference
- Depletion of tumor-reactive HSCs reveals their significance during different stages of liver metastasis
- Hepatology Communications
- DOI: 10.1097/HC9.0000000000000669
Image gallery
-
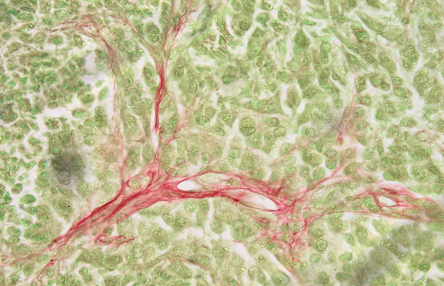
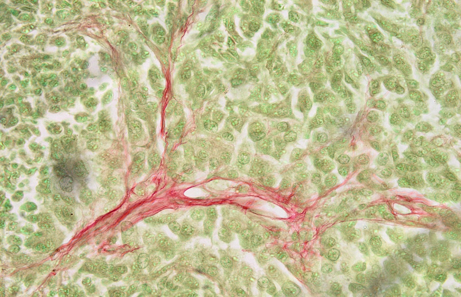
Collagen Tumour: When hepatic stellate cells are activated, they produce collagen and cause it to accumulate in the liver. In particular, the photograph shows collagen fibres (in red) and metastatic cells (in green) inside the tumour. -
Peritumoral HSCs: Hepatic stellate cells around the metastatic site are activated, they increase the GFAP protein expression (green) and contribute to the formation of new blood vessels, among other things.
