Researchers from the UPV/EHU-University of the Basque Country and CEFAS have discovered a parasite present in seawater and which belongs to a primitive lineage; they have named it <i>Txikispora philomaios</i>. This organism will help to explain how multicellularity developed in animals. Phylogenetic and phylogenomic studies using DNA from this parasite are helping to understand the evolutionary changes and adaptations that enabled the difficult transition to take place from microscopic unicellular organisms to multicellular animals and fungi.
Txikispora philomaios, a parasite that will help to explain the origin of animal multicellularity
The parasite belongs to a lineage close to the evolutionary point at which unicellular organisms became differentiated to form animals and fungi
- Research
First publication date: 27/01/2022
The researcher Ander Urrutia of the UPV/EHU’s Cell Biology in Environmental Toxicology research group and Animal Pathology at CEFAS/OIE, is exploring “the great hidden diversity of unicellular parasitic organisms in the intertidal zone in coastal ecosystems of temperate climates, with the aim of trying to see where they are found, what their ecology is like, how they behave, etc.”. Environmental DNA (eDNA) is one of the techniques used to achieve this goal: it is a technique that involves “extracting the DNA contained in either an organic or environmental matrix, for example in an organism or in previously filtered seawater samples”. In particular, Urrutia focused on organisms that parasitize invertebrates: "There are a great many unidentified parasites; we find new DNA sequences and infer their behaviour based on their genetic similarity to other parasites, but we don't really know what they are.”
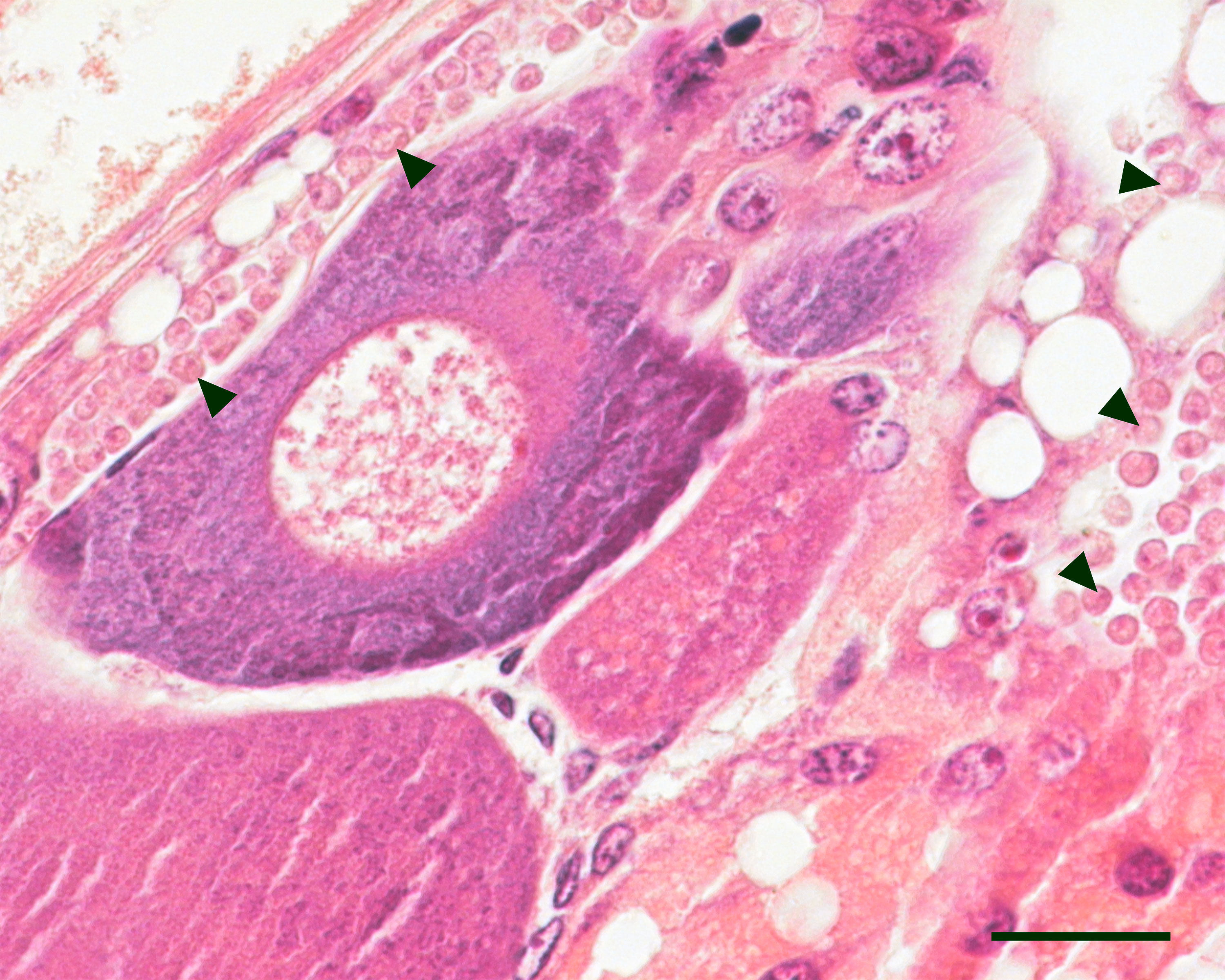
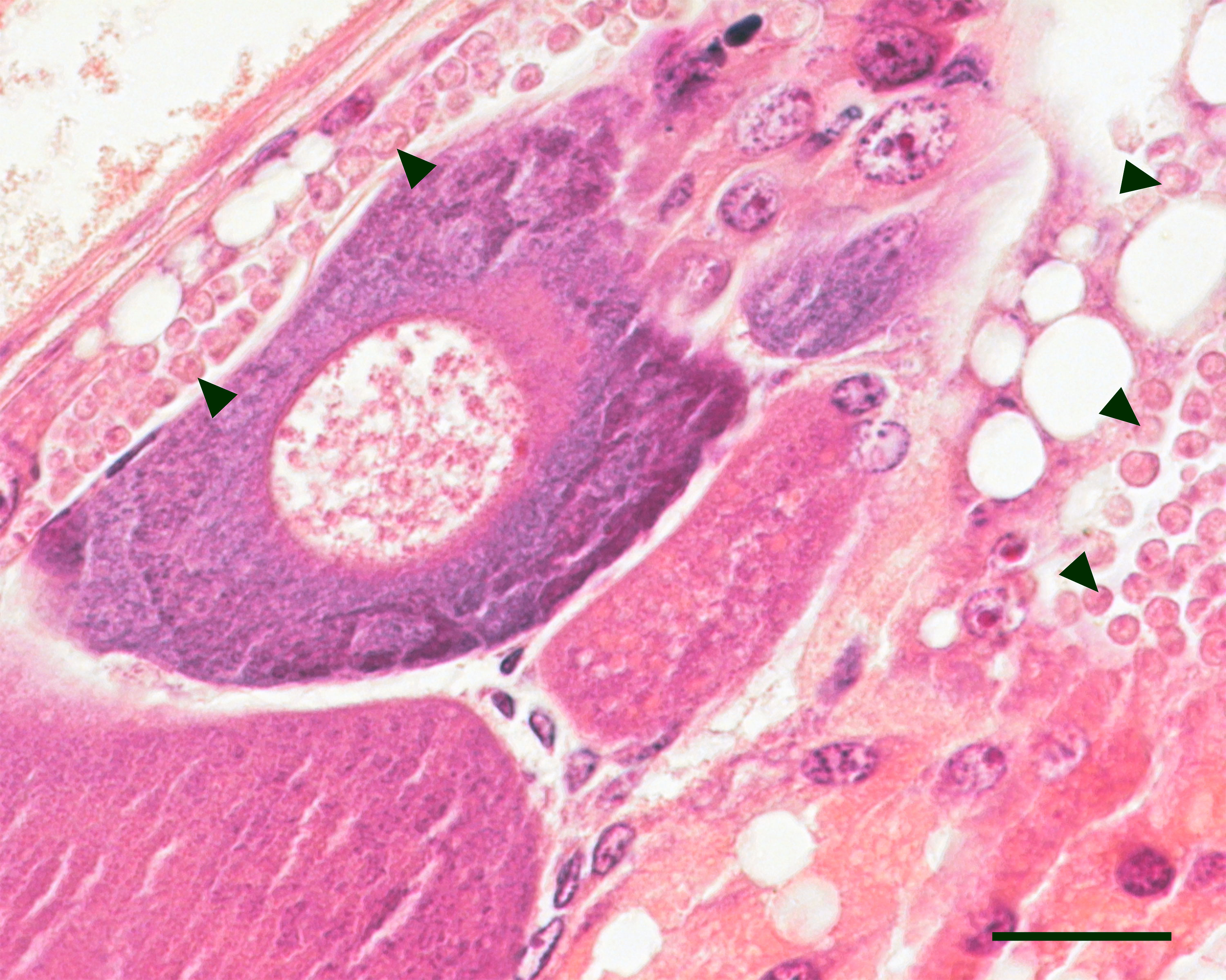
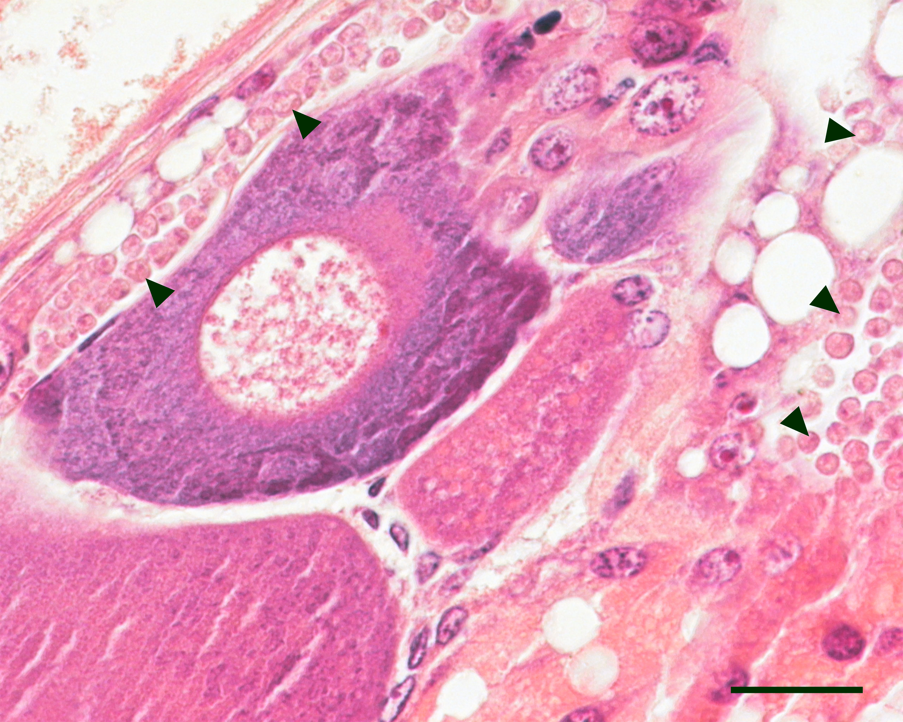
In the task to classify the unicellular parasites found in the samples, the researcher in the Department of Zoology and Animal Cell Biology found an “a priori little-known parasite, which, on the basis of its characteristics, did not fit into any existing group. We had to do some molecular analyses which confirmed that it was a different organism. Once we had produced several phylogenetic trees, i.e. after comparing the DNA of this organism with that of its closest possible relatives, we were able to see that it is an organism belonging to a primitive lineage that is close to the point at which animals and fungi became differentiated. It is close to the evolutionary moment when a unicellular organism became differentiated to give rise to all the animals that exist, shortly after which another similar cellular organism was to become differentiated to eventually evolve into all the fungi that exist”, Urrutia explained.
The 'May-loving spore' that opens the door to the study of the origin of animal multicellularity
"Txikispora philomaios is a protist (a unicellular eukaryotic organism) that evolved shortly after the division that was undertaken by the common ancestor of animals and fungi, before its multicellularity was developed. All the world's animals and fungi come from the same cellular organism that was presumably present in the ocean hundreds of millions of years ago. At some point it began to aggregate and duplicate itself, while its cells specialised to form tissue, and eventually a body, ranging from a microscopic jellyfish to a huge blue whale," explained the researcher. Since the genetic rearrangement undergone by parasites often differs from that of their free-living relatives, the study of this parasite and its genome will contribute towards understanding how animal multicellularity developed. “In other words, when and how cells began to communicate with each other, join together, or specialise among themselves, forming increasingly complex organisms. The development of animal multicellularity is very important from the point of view of basic biology," added Urrutia, who carried out the research at CEFAS in the UK, at the Plentzia Marine Station (PIE) and at the Institute of Evolutionary Biology (IBE/CSIC).
As Urrutia explained, “Txikispora is not only a new species, it also gives a name to a new genus, a new family, a new order, and so on. In other words, we now have the new Txikisporidae family, one with quite a few cryptic sequences, i.e. unknown pieces of DNA that look very similar to Txikispora and which could also belong to parasites, although we don't know where they are or which animals they could parasitize. Many of them are present in aquatic ecosystems in Europe, but we know nothing more about them. That's another line of research I would like to pursue”.
The UPV/EHU researchers were commissioned to name this parasite. The name Txikispora was adopted owing to the fact that it is a small spore, and philomaios is due to the fact that the parasite only appeared for a few days during May, thus 'May-loving spore'. In addition to the difficulty in placing it phylogenetically in its corresponding group, it was difficult to find it in seawater: "We had been on a wild goose chase until we realised that it is only found in the amphipod community for a few days during this month; it is as if the parasite had disappeared for the rest of the year," explained Urrutia.
Additional information
This research is part of Ander Urrutia's PhD thesis entitled "Cryptic reservoirs of micro-eukaryotic parasites in ecologically relevant intertidal invertebrates from temperate coastal ecosystems" and supervised by Dr Ionan Marigomez (head of the Plentzia Marine Station - PiE) and Dr Stephen W. Feist of the Centre for Environment, Fisheries and Aquaculture Science - CEFAS (United Kingdom). Iñaki Ruiz-Trillo from IBE-CSIC in Barcelona also collaborated in the study.
Bibliographic reference
- Txikispora philomaios n. sp., n. g., a micro-eukaryotic pathogen of amphipods, reveals parasitism and hidden diversity in Class Filasterea
- Journal of Eukaryotic Microbiology
- DOI: 10.1111/jeu.12875
