Tumore-ezabatzaile gisa ezagutzen den proteina bat antzutasunari lotuta egon liteke
Lehenengo argitaratze data: 2013/04/23
UPV/EHUko, Gurutzetako Unibertsitate Ospitaleko eta Memorial Sloan-Kettering-eko ikertzaileen lana Human Reproduction aldizkariaren azalean.
Ezaguna zen p27 proteinak daukan tumore-ezabatzaile eginkizuna. Orain aurkitu da antzutasunari lotuta egon litekeela. Euskal Herriko Unibertsitateko, Gurutzetako Unibertsitate Ospitaleko eta BioCruces Institutuko eta New Yorkeko Memorial Sloan-Kettering Cancer Center-eko nazioarteko ikertzaile talde batek p27 proteinaren eginkizunari buruz egindako ikerketa argitaratu berri da Human Reproduction aldizkarian. Robert Edwards Nobel saridunak sortu zuen aldizkaria, eta munduko ospetsuena da lagundutako ugalketari dagokionez. Gainera, aldizkari horren apirileko zenbakiaren azalerako artikulu horretako irudi bat hautatu dute.
Lan horren lehen sinatzailea Jairo Pérez Sanz da eta zuzendaria Carmen de la Hoz Torres irakaslea, UPV/EHYko Biologia Zelular eta Histologia Sailekoak biak. P27 generik ez duten genetikoki eraldatutako sagu emeen antzutasunaren zioa ikertu zen. Gene hori Andrew Koff irakasleak aurkitu zuen, eta hark ere parte hartu du proiektuan.
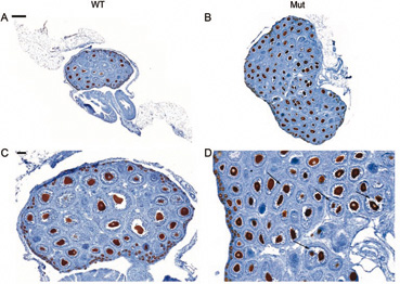
Horretarako, obarioak aztertu ziren, p27 proteinarik ezean, immunohistokimikaren eta immunofluoreszentziaren bidez, ondoren irudia aztertuz. Lan horretan ekarpen garrantzitsua egin zuen Jon Arluzea Jauregizar UPV/EHUko irakasleak.
Ikerketak frogatu zuenez, p27 proteinarik eza obozito kopuru handiagoari eta folikulu kopuru handiagoari -egitura horiek dauzkate obozitoak, orokorrean, bat folikuluko- lotuta zegoen. Zehazki, agerian geratu zen obozito bat baino gehiago duten folikuluak, folikulu multiobozitikoak deritzotenak, askoz sarriago agertzen direla etapa perinatalean eme mutanteengan. Folikulu multiobozitikoen eta antzutasunaren arteko lotura paradoxikoa da itxura batean, baina honela azal daiteke: folikulu horiek endekapen prozesu azkarra pairatzen dute kumea jaio ondorengo egunetan.
Era berean, ikertzaileek egiaztatu dute, adin ugalkorrean, p27 proteina ez duten sagu emeek garapen bideko folikulu asko daukatela, bereziki, folikulu likidoa metatzen duten bigarren mailako folikuluak, obario polikistikoko sindromea duten emakumeen morfologiaren antzera. "Aurkikuntza horiek bide berria zabaldu diote giza antzutasunaren ikerketari", esan du Roberto Matorras Weinigek, UPV/EHUko irakasle eta Gurutzetako Ospitaleko Giza Ugalketaren Unitatearen buruak, berak ere parte hartu baitu ikerketa horretan, zeinek Eusko Jaurlaritzaren eta Jesus Gangoiti Fundazioaren diru-laguntzak jaso baititu.
Erreferentzia bibliografikoa
-
Argitalpena: Hum. Reprod. (2013) 28(4): 1023-1030 first published online January 8, 2013
-
DOI: doi:10.1093/humrep/des436