Hipertermia magnetikoko tratamenduetan magnetosomek —jatorri biologikoko nanopartikula magnetikoek— duten ahalmen terapeutikoa aztertu du UPV/EHUren azterketa batek. Minbizi-zelulak hiltzeko, eremu magnetiko alterno baten eraginpean nanopartikula magnetikoek sortutako energia termikoa aprobetxatzen duen tumoreen aurkako terapia da.
Magnetosomen eraginkortasuna baieztatu dute tumoreen aurkako tratamenduetan
Jatorri biologikoko nanopartikula magnetikoen aplikazio biomedikoak aztertu ditu UPV/EHUko ikerketa batek
- Ikerketa
Lehenengo argitaratze data: 2020/02/17
Nanopartikula magnetikoei esker, minbiziaren aurkako ohiko terapien ordez jarduteko modu ezberdinak aztertu ahal izan dira azken urteotan. Nanopartikula magnetikoen abantaila nabarmena da agente teranostiko gisa erabil daitezkeela (bai terapian bai diagnostikoan parte hartzen duten elementuak); hainbat nanopartikula magnetiko mota daude, eta horietako batzuk magnetosomak dira, alegia, bakterio magnetotaktikoetatik sintetizatutako nanopartikula magnetikoak.
Nanosistema horiek botikak garraiatzeko ez ezik, propietate fisiko eta magnetiko nabarmenak ere izan ditzakete hipertermian erabiltzeko —gorputzaren tenperatura igotzean—, bai eta botiken garraio gidatuan erabiltzeko ere. “Hipertermia magnetikoko tratamenduetan magnetosomek duten ahalmen terapeutikoa aztertzen du lan honek. Teknika horrek nanopartikula magnetikoek eremu magnetiko alterno baten eraginpean sortutako energia termikoa baliatzen du minbizi-zelulak hiltzeko”, adierazi du David Muñoz Rodríguezek, UPV/EHUko Immunologia, Mikrobiologia eta Parasitologia saileko ikertzaileak.
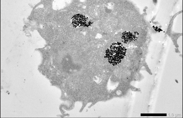
“Magnetosomek, sintesi kimikoko nanopartikula magnetikoek ez bezala, berezko mintz lipoproteiko bat dute, babestu egiten dituena eta, aldi berean, aglomeratzea saihesten duena. Gainera, funtzionalizatu egin daitezke, hau da, zenbait botika edo tumoreen aurkako eragile mintzean itsats daitezke, tumore-masaraino modu eraginkorrean gidatuak izan ahal izateko. Nanopartikula magnetikoek bero gisa igortzen dute kanpotik aplikatzen zaien eremu magnetiko alternoaren energia, eta, hala, tumoreen tenperatura igo eta aurre egiten diete”, adierazi du Muñozek.
“Magnetosomek beroa sortzeko gaitasun handia dute (sintesi kimikoko nanopartikula magnetikoak baino handiagoa), eta hipertermian duten eraginkortasuna baieztatu dute egindako esperimentuetan zelulen %80 hiltzen zirela ikustean”, esan du David Muñozek. Gainera, “hipertermia magnetikoak badu abantaila bat: terapia lokala da, eta ez du albo-ondorio larririk eragiten organismoan. Eremu magnetikoa ez da gorputzeko edozein tokitan aplikatu behar, ezta edozein modutan ere: tumoreak eragindako eremuan bakarrik aplikatu behar da, eta 43 eta 46 ºC arteko tenperatura lortu behar da, tenperatura-tarte horretan zelulak apoptosi deritzonean sartzen baitira —programatutako zelula-heriotza—. Frogatu dugu magnetosomak erabiliz hipertermia magnetikoak tenperatura igoera nahikoa ematen duela zelulen bideragarritasuna estatistikoki nabarmen murrizteko, eta zelulak apoptosian sartu eta hiltzera bultzatzen dituela”, azpimarratu du lanaren egileak.
Ikertzaileak nabarmendu duenez, "mota horretako terapietan magnetosomak erabiltzeak etorkizun oparoa izan lezake, eta tumoreen aurkako tratamendu konbentzionalen alternatiba egokia izan liteke". Hala ere, Muñozek dio “funtsezkoa izango litzatekeela partikula magnetiko horiek organismoan duten banaketa ezagutzea. Alegia, jardun ondoren, non metatzen dira? Zenbait ikerketaren arabera, organismoak berak metaboliza ditzake magnetosomak; beste batzuen arabera, berriz, zenbait organotan metatzen dira, hala nola gibelean, giltzurrunean, barean… Hori da erronka”.
Informazio osagarria
Ikerketa hau David Muñoz Rodriguez (Barakaldo, 1989) doktore-tesiaren barnean egin da. Doktore-tesiaren izenburua Nanopartículas magnéticas de origen biológico: síntesis y aplicaciones en biomedicina da, eta Alicia Muela Blazquez UPV/EHUko Immunologia, Mikrobiologia eta Parasitologia saileko katedradunak eta Ana García Prietao UPV/EHUko Fisika Aplikatua I saileko irakasleak zuzendu dute.
